What is Composite Restoration?
We are proud to say that we have the world best ART (Atraumatic Restorative Techniques and Materials) for our patients' safety and comfort, so say "bye bye pain".
Advantages of Composite Resin Fillings:
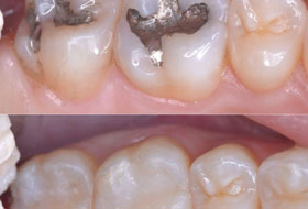
Composite Restoration 01
Composite Restoration 02
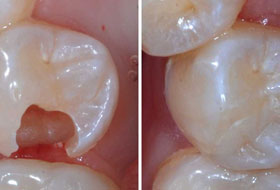
Composite Restoration 03
Composite Restoration 04
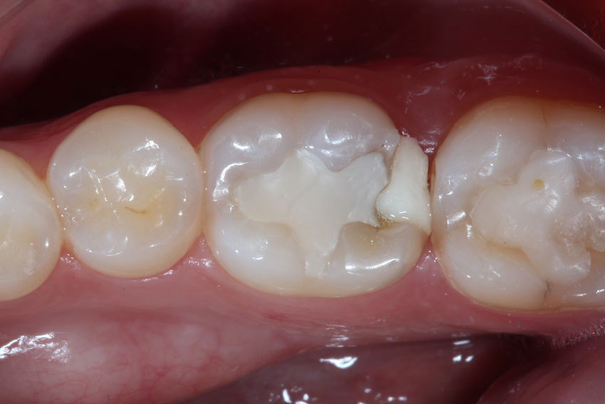
Composite Restoration 05
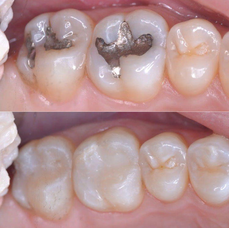
Composite Restoration 06
Composite Restoration 07
Composite Restoration 08