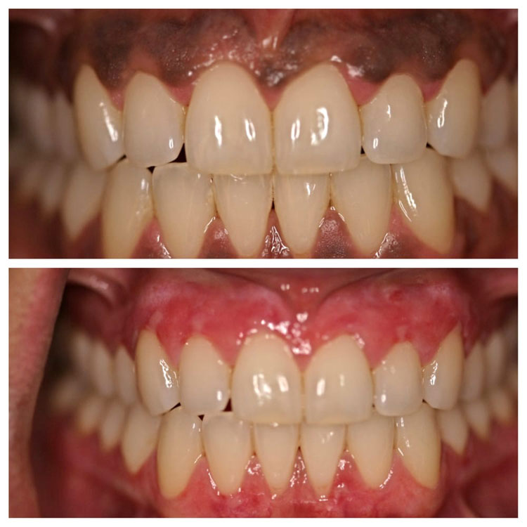
Gum Depigmentation

What is Gum Depigmentation?

Gum depigmentation is a procedure used in cosmetic dentistry to remove black spots or patches on the gums caused by excessive melanin.

The normal color of the gum tissue is pink, but excess deposits of melanin can create what seem to be black spots or patches on the gums, creating an aesthetic or cosmetic problem in smile and result in lowering confidence and self steem of person.

Discolouration may genetically inherited from parents or can also be caused by long term use of certain medications.

A clinical assessment is carried out at Dr. Sachin’s dental clinic, Porbandar to customize the treatment to the patients needs, and the procedure itself can involve surgical, chemical, or laser ablation techniques.If you desire more attractive gums that will have you showing off your full beautiful smile, schedule a consultation at SACHIN DENTAL CLINIC.