What is Teeth Whitening?
The most common causes for teeth discolorations include aging, consumption of staining substances (coffee, tea, colas, tobacco, betel nut etc.) and old discolored fillings in the teeth. Consumption of the antibiotic tetracycline or excessive fluorides during the formation of tooth may also cause tooth discoloration.
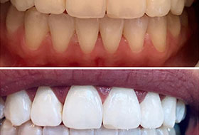
Bleaching of teeth is a procedure which is useful in lightening discolorations which have accumulated on the tooth surface over a period of time. Mild bleaching agents are used in this procedure for teeth whitening. This method is ideal for stains caused by age or food.
The two methods of bleaching are In-office bleaching and tray system that is done at home.
Teeth Whitening 01
Teeth Whitening 02
Teeth Whitening 03
Teeth Whitening 04
Teeth Whitening 05
Teeth Whitening 06
Teeth Whitening 07
Teeth Whitening 08